La hipoplasia dental en niños: síntomas, causas y tratamiento


Escrito y verificado por la odontóloga Vanesa Evangelina Buffa
Las anomalías y los defectos en los dientes son trastornos que afectan a muchos pequeños y que preocupan a sus padres. Un ejemplo de ello es la hipoplasia dental en los niños.
Este problema en las piezas dentarias no solo altera su aspecto estético, sino que también las predispone a sufrir otros problemas, como las caries o la sensibilidad dental.
Por eso es importante hacer un diagnóstico temprano y realizar el tratamiento oportuno. Por un lado, para mejorar la calidad de vida del niño y por el otro, para evitar problemas a futuro. ¡No dejes de leer!
¿Qué es la hipoplasia dental en los niños?
La hipoplasia dental en los niños es un problema en el desarrollo del esmalte. Quienes padecen esta condición poseen una o varias piezas dentarias con menor cantidad de este tejido o con una baja calidad del mismo.
En general, sucede cuando el elemento dentario está en formación, es decir, antes de que salga en la boca. Por lo tanto, es común que se detecte en edades tempranas, cuando los dientes recién erupcionan.
Para comprender mejor este trastorno es pertinente saber que el esmalte es el tejido más externo y superficial de los elementos dentarios. Está formado en gran parte por cristales de calcio y otros minerales, y es considerado el material más duro y resistente del cuerpo. Su función principal es recubrir y proteger a los dientes.
Entonces, en una hipoplasia dental, el esmalte es insuficiente o está debilitado. Como te contaremos más adelante, distintos factores pueden alterar el proceso de desarrollo de los elementos dentarios y originar este problema.
El aspecto de la hipoplasia dental en los niños varía según la severidad del problema. En algunos casos es muy evidente y otras veces, solo es detectada por el ojo experto del odontopediatra. Veamos sus manifestaciones con mayor detenimiento.

¿Cuáles son los síntomas de la hipoplasia dental en los niños?
Como ya adelantamos, es la severidad de la hipoplasia dental en los niños puede variar. Los grados leves pueden ser poco evidentes y solo ser detectados por el dentista.
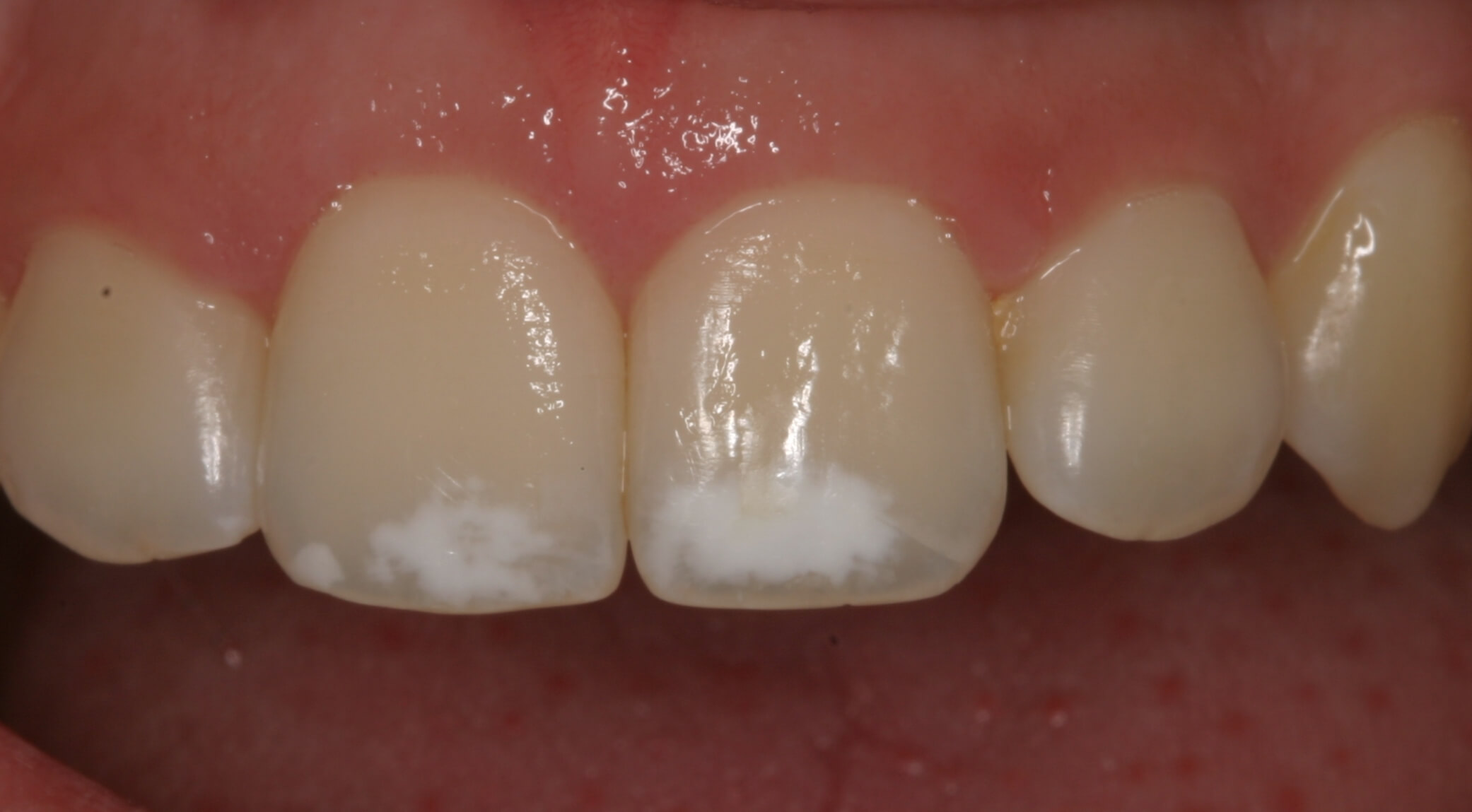
Pero en otros casos, son los papás los que notan las manifestaciones del problema en las piezas dentarias de sus pequeños. Pueden observarse manchas o puntos blancos, líneas, fisuras, hoyos, surcos o abolladuras en la superficie del esmalte. Además, la textura del defecto es áspera y opaca.
Existen casos en los que la hipoplasia dental en los niños se ve de color amarillento o amarronada, pues se descubre la dentina subyacente. Y en ocasiones más raras puede estar alterada la forma del diente. Incluso, cuando el trastorno es muy severo, puede haber una ausencia total del esmalte y los dientes lucen más chicos y deformes que los demás.
Al estar comprometido el esmalte, pueden ocurrir algunas complicaciones extra, como el diente blando, la sensibilidad dental y una mayor predisposición a sufrir caries y gingivitis. Pues al tener una menor protección frente a los ácidos y una mayor presencia de defectos estructurales, se facilita la retención de placa bacteriana.
Causas de hipoplasia dental
A veces es difícil encontrar la causa que da origen a la hipoplasia dental en los niños, pues el problema sucede durante el desarrollo del elemento dentario dentro de la encía.
La mayoría de las veces son situaciones o afecciones que ocurren en los primeros años de vida del pequeño las que causan este problema. Estas son algunas de las circunstancias habituales que pueden causar hipoplasias en el esmalte:
- Problemas en el embarazo: los elementos dentarios empiezan a formarse cuando el niño aún se encuentra dentro del vientre materno. Ciertas enfermedades de la madre, como infecciones con fiebre elevada, el consumo de algunos medicamentos o las carencias nutricionales durante la gestación pueden provocar una hipoplasia dental en el feto en desarrollo.
- Problemas en la primera infancia: los nacimientos prematuros, el bajo peso al nacer, el déficit de vitaminas, la desnutrición, las infecciones, los síndromes febriles prolongados o las enfermedades sistémicas en edades tempranas pueden causar este defecto dental.
- Traumatismos: los golpes en la boca durante la niñez pueden afectar al elemento dentario de leche y, a través de su raíz, lesionar el germen del diente permanente que se está formando por debajo. La pieza definitiva será la que presente la hipoplasia al erupcionar.
- Herencia: algunos patrones genéticos heredados pueden afectar la formación de los dientes. A veces se presenta en una sola pieza dentaria y otras veces, están involucrados varios elementos. Incluso, en algunos casos se asocia a otros síntomas que componen un síndrome más complejo.
Tratamiento de la hipoplasia dental en los niños
Detectar la hipoplasia dental en los niños de manera precoz permite abordar el problema antes que aparezcan complicaciones. Por eso, las consultas y los chequeos regulares con el odontopediatra son fundamentales.
En los exámenes de rutina, el profesional podrá encontrar cualquier evidencia del defecto y actuar de manera temprana. Según el tipo de dentición afectada, de leche o definitiva, el tamaño y el aspecto de la lesión serán los procedimientos a elegir.
El dentista dispone de varias alternativas para tratar la hipoplasia dental en los niños. Cuando los defectos aparecen en los dientes de leche suele optarse por controlar la situación, mantener una higiene bucodental exhaustiva y hacer topicaciones frecuentes con flúor. De esta manera, se intentan evitar las complicaciones del trastorno, como las caries, la gingivitis y la sensibilidad.
Si la autoestima del pequeño está muy afectada por la apariencia de sus elementos dentarios, se puede recurrir a algún procedimiento estético adecuado para su edad.
En el caso de las piezas dentarias definitivas, se suele optar por el uso de selladores. Con un material de relleno del mismo color de los dientes en buen estado se cubren las imperfecciones.
Cuando las manchas son muy notables, se puede recurrir a la microabrasión dental. Se trata de un procedimiento a través del cual se pule el esmalte dental y luego se recubre con resinas del mismo color del diente normal.
En las situaciones más severas, en las que los dientes han perdido gran parte del esmalte o presentan deformaciones, las reconstrucciones con resinas son oportunas. Al menos hasta que el niño alcance una edad apropiada para recurrir a otro tipo de tratamiento estético.
El blanqueamiento dental, las carillas y las coronas de porcelana son tratamientos de estética dental que son útiles para mejorar la apariencia de los dientes con hipoplasia dental. Pero su utilización no es recomendable hasta la edad adulta.

Actuar con prontitud
La hipoplasia dental en los niños, la mayoría de las veces, no se puede prevenir. Pero si detectas algún indicio que te haga sospechar que tu pequeño padece este problema, lo mejor es buscar ayuda profesional lo antes posible. Mientras más pronto se diagnostique y se actúe, menos riesgos de complicaciones habrá.
Además, la atención de la salud oral con una higiene bucodental adecuada, una alimentación saludable y visitas regulares al odontopediatra son claves para evitar consecuencias negativas. Con estos cuidados básicos puedes proteger el esmalte de los dientes de tu pequeño y ayudarlo a tener una sonrisa sana.
Todas las fuentes citadas fueron revisadas a profundidad por nuestro equipo, para asegurar su calidad, confiabilidad, vigencia y validez. La bibliografía de este artículo fue considerada confiable y de precisión académica o científica.
- Gamboa Valdez, M. R. (2016). hipoplasia del esmalte en paciente de 6 años sexo masculino. analisis de caso (Bachelor's thesis, Universidad de Guayaquil. Facultad Piloto de Odontología).
- Margot, N. C. A., & Rubén, M. S. (2014). Tratamiento estético conservador con microabrasión sobre hipoplasias del esmalte en dientes permanentes jóvenes. Revista Tamé, 271-274.
- Silva, S. M. B. D., Lanza, C. R. M., Oliveira, F. S. D., & Machado, M. A. D. A. M. (1999). Tratamiento de hipoplasia del esmalte con la técnica de microabrasión en odontopediatría. Revista Odontológica Dominicana, 5(1), 9-14.
- Molina Morales, H., & Galván Calle, M. (2008). TRATAMIENTO DE DIENTES PERMANENTES JÓVENESCON HIPOPLASIA DEL ESMALTE. REPORTE DE CASO.
- Páucar, M. Á., Gonzales, K. Q., Cruces, V. R., & Obregón, R. M. C. (2009). Microabrasión dental para pacientes odontopediátricos: Una alternativa estética. Odontología sanmarquina, 12(2), 86-89.
- Ancco Olaguivel, N. R. (2017). Relación de la ingesta de amoxicilina con la hipoplasia de esmalte en niños de 7-10 años del hospital Rafael Ortiz Ravinez Juli–2016.
- Salazar, J. F. T., & Ortega, D. R. (2017). Signos dentales de la sífilis congénita. Revista Asociación Dental Mexicana, 74(6), 286-292.
- Poma Torres, E. M. (2021). Manejo y protocolo de atención de la hipoplasia en niños (Bachelor's thesis, Universidad de Guayaquil. Facultad Piloto de Odontología).
- Rivera Molina, D., & Jiménez del Río, P. (2015). Hipoplasia del esmalte y su asociación con caries en niños de 5 a 14 años, en la provincia de Talca, 2015 (Doctoral dissertation, Universidad de Talca (Chile). Escuela de Odontología.).
- Ochoa Enríquez, K. J. (2015). Hipoplasias localizadas en los primeros molares permanentes y su tratamiento (Bachelor's thesis, Universidad de Guayaquil. Facultad Piloto de Odontología).
Este texto se ofrece únicamente con propósitos informativos y no reemplaza la consulta con un profesional. Ante dudas, consulta a tu especialista.







