Semana 6 del embarazo: síntomas, desarrollo del bebé y recomendaciones


Revisado y aprobado por el médico Leonardo Biolatto
Una vez más: ¡felicidades, vas a ser mamá! Es probable que apenas hayas confirmado tus sospechas, pues resultó que tu retraso menstrual no se debía a otra cosa. ¿Y sabes qué? Mientras estás asimilando la noticia, ya te encuentras en la semana 6 del embarazo.
Ahora bien, mientras el médico te lo confirma, tu bebé realmente tiene cuatro semanas de vida, pues el cálculo de las semanas de gestación se realiza a partir del primer día de tu última menstruación y es dos semanas después, aproximadamente, cuando se concibió al bebé.
Desarrollo del bebé en la sexta semana
Durante estas primeras semanas, el desarrollo de tu bebé no se detiene; cada día ocurren cambios muy importantes en su cuerpo que lo llevarán a convertirse en un organismo más parecido al que conocemos de niños y de adultos.

En la semana 6, tu bebé ya mide de 2 a 5 milímetros; casi el mismo tamaño de una lenteja. Sus extremidades comienzan a alargarse, así que ya no son incipientes al costado del tronco, como en la semana 5, sino que toman forma de brazos y piernas; incluso, ya podrán diferenciarse los pies y las manos.
Su pequeño corazoncito late con la fuerza suficiente para ser observable con un ecosonograma intravaginal, así que si te realizas este examen durante esta semana podrás escuchar los latidos del corazón de tu bebé. Este será un momento que quedará guardado para siempre.
El cerebro continúa desarrollándose, mientras que inicia la formación de los pulmones y una serie de músculos y huesos, al igual que las vesículas ópticas, las que se convertirán más adelante en sus ojos. Del mismo modo sucede con los conductos de sus oídos internos.

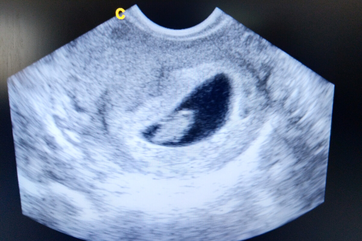
Este será el aspecto que tendrá tu bebé en una ecografía durante las semanas 6 y 7 del embarazo:

¿Cuáles son los síntomas durante esta semana?
Durante la semana 6 del embarazo, tu cuerpo puede dar manifestaciones un poco más concretas de que algo muy importante está ocurriendo. Esto se debe a los cambios hormonales que suceden para permitir el crecimiento de tu bebé.
Sin embargo, los signos concretos varían de una mujer a otra y de embarazo a embarazo, así que no entres en pánico si no presentas alguna característica de este listado:
- Ardor en el estómago: muchas mujeres empiezan a experimentar ardores en la boca del estómago, como si fuese una gastritis. Esto se debe a que el tránsito intestinal se vuelve más lento y, por ello, la molestia puede empeorar después de cada comida. Lo que ingieres tarda más tiempo en atravesar la zona superior digestiva.
- Abdomen inflamado: tu bebé es aún muy pequeño para que el abdomen se pronuncie tanto. Así que todavía no debes atribuir la hinchazón del vientre al útero. Esto se debe a que el sistema digestivo está más lento; de modo que evidenciarás un aumento en la producción de gases intestinales.
- Sensibilidad en los pechos: este síntoma continuará a lo largo de casi todo el embarazo. Los pechos crecerán y dolerán un poco; además, la piel de los pezones puede volverse más oscura y podrías identificar vestigios de leche en algunos momentos.
- Piel más tersa y cabello más grueso: en esta semana podrás mirarte al espejo y verte diferente; un poco más radiante. Esto se debe a que tu piel estará más tersa y el cabello se pone más grueso, aunque también podrían caerse un poco más de lo habitual. El momento del año en que quedas embarazada influye mucho también, ya que hay épocas de mayor caída, como el otoño.
- Fatiga o cansancio: a medida que el embarazo avanza, tu cuerpo usa mucha energía para alinear todos los procesos que permitan que tu bebé se desarrolle sano. Esto, sin duda alguna, hace que te sientas fatigada y cansada. A ello se suma que la progesterona causa somnolencia. Así que no te preocupes de más si empiezas a notar que estás durmiendo mucho.
- Los mareos, náuseas y vómitos, así como la necesidad continua de orinar y los cambios de humor siguen vigentes en esta semana.

Consejos y recomendaciones en la semana 6 del embarazo
En la semana 6 del embarazo, el embrión continúa cambiando, pero aún es muy frágil y, en ocasiones, la gestación no prospera. Por ello, puede que tengas dudas sobre cuál es el momento más adecuado para compartir esta noticia. Es respetable que aún no quieras comunicarlo.
Durante esta primera etapa es recomendable comenzar los controles prenatales y tomar las medidas recomendadas por tu médico para mantener tu salud y la del bebé. Pero, como bien adelantamos, puedes esperar un poco más para dar la noticia públicamente. Algunas mujeres prefieren superar el primer trimestre para comentarlo.
Mantener la noticia en la intimidad de los allegados es una práctica común que no tiene nada de malo. Incluso puede ser una precaución lógica reservarlo durante las primeras 12 semanas para ti y tu pareja. Hay un porcentaje (20 %) de mujeres que tienen pérdidas espontáneas en el primer trimestre.
No debes alarmarte. Se trata de ser precavidas y tomar los recaudos del caso. Además, vivir en la intimidad estos momentos genera un disfrute del vínculo que estás creando con tu bebé.
Un proyecto de vida
Ahora bien, lo antes dicho no significa que no puedas empezar a hacer planes relacionados al embarazo y al bebé. De hecho, es un buen momento para comenzar a hablar en pareja sobre los cambios en vuestro estilo de vida, en la práctica de deportes y en el trabajo en los próximos meses.
Un bebé en camino es una oportunidad única de reevaluar vuestro proyecto de vida para orientarlo y hacerlo congruente con la nueva conformación familiar. Y siendo más específicos, seguro ya tiendes a imaginarte modificaciones en la casa, en los cuartos y hasta en el patio.
¡Cuida lo que comes!
Esta es una recomendación que no desaparecerá pronto. El bienestar de tu bebé dependerá mucho de lo que comas. Las verduras de hojas verdes, por ejemplo, proporcionan una buena cantidad de ácido fólico, que previene la aparición de malformaciones como la espina bífida y otras vinculadas al sistema nervioso central.
De todos modos, es muy probable que tu médico te indique un suplemento de esta vitamina en forma de comprimidos, ya que las cantidades requeridas en un embarazo no suelen ser cubiertas por la dieta.
Adicionalmente, consume carnes magras, pero no crudas o mal cocidas. Es importante tener un adecuado aporte de hierro en los 9 meses y en las semanas posteriores al nacimiento. Y el hierro está en buenas cantidades en la carne. Esto previene la anemia.
Dile adiós a hábitos perjudiciales como fumar, tomar café y alcohol. De acuerdo con estudios, este último aumenta la probabilidades de sufrir un aborto espontáneo o un nacimiento prematuro. Además, causa anomalías físicas y cognitivas en los bebés.
Manejo de las náuseas matutinas
Es uno de los síntomas comunes y que más molestias genera a las embarazadas. En la semana 6, este signo se empieza a acentuar y podría durar las primeras 12 semanas del embarazo. En especial, las náuseas ocurren en las primeras horas de la mañana y puedes manejarlas con algunos trucos:
- Comer galleta de soda al despertar, antes de levantarte de la cama.
- Comer cubos de hielo.
- Tomar infusiones con jengibre. Esta sustancia está permitida durante la gestación y se sabe de su inocuidad. Es una medicina natural segura, probada con estudios científicos, a diferencia de otras hierbas y suplementos naturistas que no deben ingerirse.
- Comer u oler frutas cítricas, como limones, limas, mandarinas y naranjas.
- Evitar comer en grandes cantidades. Es preferible que comas pequeñas porciones varias veces al día antes que un plato fuerte a la noche, por ejemplo.
Preguntas frecuentes
En la semana 6 de embarazo es normal que las dudas te agobien. Todo puede parecerte peligroso, ya atraviesas por un cambio de vida drástico. Lo importante es que no te dejes superar por miedos y dudas y empieces a disfrutar esta etapa que apenas empieza y es maravillosa.
1. ¿Puedo saber cuál es la fecha de parto?
Si ya has consultado con tu médico, lo más probable es que sí. A estas alturas, ya deberías tener una prueba en sangre que compruebe tu embarazo y es probable que te hayan realizado el ecosonograma intravaginal para verificar el estado de salud de tu bebé.
Así que, junto a la fecha de la última menstruación, tu médico cuenta con los datos que le permitirán hacer un cálculo estimado de la fecha de parto. No obstante, muchos factores confluyen para que se cumpla, por lo que es un estimativo.
2. ¿Qué medidas debo tomar en el trabajo?
Todo dependerá del trabajo que realices, pues hay algunos en los que la exigencia física es extrema o puedes estar expuesta a sustancias peligrosas que pongan en riesgo la vida del bebé. Dependiendo de esto, será necesario que notifiques a tu jefe para que se tomen las medidas necesarias.
3. ¿Puedo practicarme pruebas para saber el estado del bebé?
¡Claro que sí! En esta sexta semana ya podrás practicarte pruebas prenatales que te den una idea del estado de salud de tu pequeño bebé. Algunas de ellas son los ultrasonidos y las bioquímicas de sangre.
Si realizas los controles prenatales de forma adecuada, seguro que tu médico te las solicita. Forman parte de la rutina básica para el control del desarrollo de la gestación.
Hay otros procedimientos que son preferibles realizar más adelante, cuando se supera el primer trimestre, como la amniocentesis, que se sugiere para luego de la semana 16 de embarazo.
¡Latidos fuertes y claros!
En la semana 6 del embarazo, tu bebé ya tiene un corazón definido y fuerte que late 150 veces en un minuto. Esto es casi el doble que un adulto. Ese sonido se queda plasmado en tu alma para siempre y es sinónimo de que llevas una nueva vida dentro de ti.
Tu bebé es muy pequeño. Aunque está muy bien instalado en el útero, debes cuidarlo porque sigue siendo susceptible a todo lo que ocurre a su alrededor. En esta semana ya no deberás presentar sangrado, por tanto, si llegase a ser así, acude por atención médica.
Una vez más: ¡felicidades, vas a ser mamá! Es probable que apenas hayas confirmado tus sospechas, pues resultó que tu retraso menstrual no se debía a otra cosa. ¿Y sabes qué? Mientras estás asimilando la noticia, ya te encuentras en la semana 6 del embarazo.
Ahora bien, mientras el médico te lo confirma, tu bebé realmente tiene cuatro semanas de vida, pues el cálculo de las semanas de gestación se realiza a partir del primer día de tu última menstruación y es dos semanas después, aproximadamente, cuando se concibió al bebé.
Desarrollo del bebé en la sexta semana
Durante estas primeras semanas, el desarrollo de tu bebé no se detiene; cada día ocurren cambios muy importantes en su cuerpo que lo llevarán a convertirse en un organismo más parecido al que conocemos de niños y de adultos.

En la semana 6, tu bebé ya mide de 2 a 5 milímetros; casi el mismo tamaño de una lenteja. Sus extremidades comienzan a alargarse, así que ya no son incipientes al costado del tronco, como en la semana 5, sino que toman forma de brazos y piernas; incluso, ya podrán diferenciarse los pies y las manos.
Su pequeño corazoncito late con la fuerza suficiente para ser observable con un ecosonograma intravaginal, así que si te realizas este examen durante esta semana podrás escuchar los latidos del corazón de tu bebé. Este será un momento que quedará guardado para siempre.
El cerebro continúa desarrollándose, mientras que inicia la formación de los pulmones y una serie de músculos y huesos, al igual que las vesículas ópticas, las que se convertirán más adelante en sus ojos. Del mismo modo sucede con los conductos de sus oídos internos.

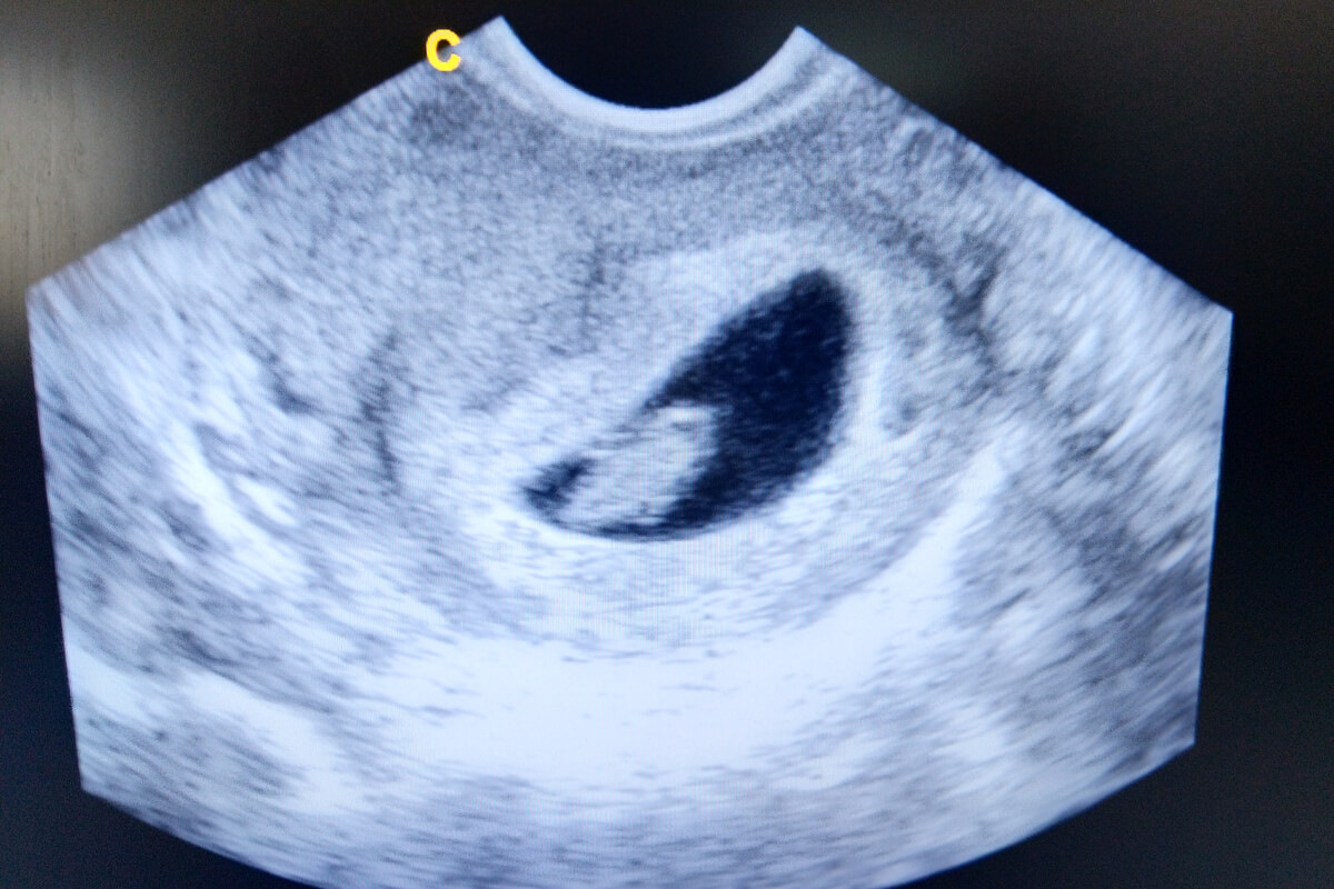
Este será el aspecto que tendrá tu bebé en una ecografía durante las semanas 6 y 7 del embarazo:

¿Cuáles son los síntomas durante esta semana?
Durante la semana 6 del embarazo, tu cuerpo puede dar manifestaciones un poco más concretas de que algo muy importante está ocurriendo. Esto se debe a los cambios hormonales que suceden para permitir el crecimiento de tu bebé.
Sin embargo, los signos concretos varían de una mujer a otra y de embarazo a embarazo, así que no entres en pánico si no presentas alguna característica de este listado:
- Ardor en el estómago: muchas mujeres empiezan a experimentar ardores en la boca del estómago, como si fuese una gastritis. Esto se debe a que el tránsito intestinal se vuelve más lento y, por ello, la molestia puede empeorar después de cada comida. Lo que ingieres tarda más tiempo en atravesar la zona superior digestiva.
- Abdomen inflamado: tu bebé es aún muy pequeño para que el abdomen se pronuncie tanto. Así que todavía no debes atribuir la hinchazón del vientre al útero. Esto se debe a que el sistema digestivo está más lento; de modo que evidenciarás un aumento en la producción de gases intestinales.
- Sensibilidad en los pechos: este síntoma continuará a lo largo de casi todo el embarazo. Los pechos crecerán y dolerán un poco; además, la piel de los pezones puede volverse más oscura y podrías identificar vestigios de leche en algunos momentos.
- Piel más tersa y cabello más grueso: en esta semana podrás mirarte al espejo y verte diferente; un poco más radiante. Esto se debe a que tu piel estará más tersa y el cabello se pone más grueso, aunque también podrían caerse un poco más de lo habitual. El momento del año en que quedas embarazada influye mucho también, ya que hay épocas de mayor caída, como el otoño.
- Fatiga o cansancio: a medida que el embarazo avanza, tu cuerpo usa mucha energía para alinear todos los procesos que permitan que tu bebé se desarrolle sano. Esto, sin duda alguna, hace que te sientas fatigada y cansada. A ello se suma que la progesterona causa somnolencia. Así que no te preocupes de más si empiezas a notar que estás durmiendo mucho.
- Los mareos, náuseas y vómitos, así como la necesidad continua de orinar y los cambios de humor siguen vigentes en esta semana.

Consejos y recomendaciones en la semana 6 del embarazo
En la semana 6 del embarazo, el embrión continúa cambiando, pero aún es muy frágil y, en ocasiones, la gestación no prospera. Por ello, puede que tengas dudas sobre cuál es el momento más adecuado para compartir esta noticia. Es respetable que aún no quieras comunicarlo.
Durante esta primera etapa es recomendable comenzar los controles prenatales y tomar las medidas recomendadas por tu médico para mantener tu salud y la del bebé. Pero, como bien adelantamos, puedes esperar un poco más para dar la noticia públicamente. Algunas mujeres prefieren superar el primer trimestre para comentarlo.
Mantener la noticia en la intimidad de los allegados es una práctica común que no tiene nada de malo. Incluso puede ser una precaución lógica reservarlo durante las primeras 12 semanas para ti y tu pareja. Hay un porcentaje (20 %) de mujeres que tienen pérdidas espontáneas en el primer trimestre.
No debes alarmarte. Se trata de ser precavidas y tomar los recaudos del caso. Además, vivir en la intimidad estos momentos genera un disfrute del vínculo que estás creando con tu bebé.
Un proyecto de vida
Ahora bien, lo antes dicho no significa que no puedas empezar a hacer planes relacionados al embarazo y al bebé. De hecho, es un buen momento para comenzar a hablar en pareja sobre los cambios en vuestro estilo de vida, en la práctica de deportes y en el trabajo en los próximos meses.
Un bebé en camino es una oportunidad única de reevaluar vuestro proyecto de vida para orientarlo y hacerlo congruente con la nueva conformación familiar. Y siendo más específicos, seguro ya tiendes a imaginarte modificaciones en la casa, en los cuartos y hasta en el patio.
¡Cuida lo que comes!
Esta es una recomendación que no desaparecerá pronto. El bienestar de tu bebé dependerá mucho de lo que comas. Las verduras de hojas verdes, por ejemplo, proporcionan una buena cantidad de ácido fólico, que previene la aparición de malformaciones como la espina bífida y otras vinculadas al sistema nervioso central.
De todos modos, es muy probable que tu médico te indique un suplemento de esta vitamina en forma de comprimidos, ya que las cantidades requeridas en un embarazo no suelen ser cubiertas por la dieta.
Adicionalmente, consume carnes magras, pero no crudas o mal cocidas. Es importante tener un adecuado aporte de hierro en los 9 meses y en las semanas posteriores al nacimiento. Y el hierro está en buenas cantidades en la carne. Esto previene la anemia.
Dile adiós a hábitos perjudiciales como fumar, tomar café y alcohol. De acuerdo con estudios, este último aumenta la probabilidades de sufrir un aborto espontáneo o un nacimiento prematuro. Además, causa anomalías físicas y cognitivas en los bebés.
Manejo de las náuseas matutinas
Es uno de los síntomas comunes y que más molestias genera a las embarazadas. En la semana 6, este signo se empieza a acentuar y podría durar las primeras 12 semanas del embarazo. En especial, las náuseas ocurren en las primeras horas de la mañana y puedes manejarlas con algunos trucos:
- Comer galleta de soda al despertar, antes de levantarte de la cama.
- Comer cubos de hielo.
- Tomar infusiones con jengibre. Esta sustancia está permitida durante la gestación y se sabe de su inocuidad. Es una medicina natural segura, probada con estudios científicos, a diferencia de otras hierbas y suplementos naturistas que no deben ingerirse.
- Comer u oler frutas cítricas, como limones, limas, mandarinas y naranjas.
- Evitar comer en grandes cantidades. Es preferible que comas pequeñas porciones varias veces al día antes que un plato fuerte a la noche, por ejemplo.
Preguntas frecuentes
En la semana 6 de embarazo es normal que las dudas te agobien. Todo puede parecerte peligroso, ya atraviesas por un cambio de vida drástico. Lo importante es que no te dejes superar por miedos y dudas y empieces a disfrutar esta etapa que apenas empieza y es maravillosa.
1. ¿Puedo saber cuál es la fecha de parto?
Si ya has consultado con tu médico, lo más probable es que sí. A estas alturas, ya deberías tener una prueba en sangre que compruebe tu embarazo y es probable que te hayan realizado el ecosonograma intravaginal para verificar el estado de salud de tu bebé.
Así que, junto a la fecha de la última menstruación, tu médico cuenta con los datos que le permitirán hacer un cálculo estimado de la fecha de parto. No obstante, muchos factores confluyen para que se cumpla, por lo que es un estimativo.
2. ¿Qué medidas debo tomar en el trabajo?
Todo dependerá del trabajo que realices, pues hay algunos en los que la exigencia física es extrema o puedes estar expuesta a sustancias peligrosas que pongan en riesgo la vida del bebé. Dependiendo de esto, será necesario que notifiques a tu jefe para que se tomen las medidas necesarias.
3. ¿Puedo practicarme pruebas para saber el estado del bebé?
¡Claro que sí! En esta sexta semana ya podrás practicarte pruebas prenatales que te den una idea del estado de salud de tu pequeño bebé. Algunas de ellas son los ultrasonidos y las bioquímicas de sangre.
Si realizas los controles prenatales de forma adecuada, seguro que tu médico te las solicita. Forman parte de la rutina básica para el control del desarrollo de la gestación.
Hay otros procedimientos que son preferibles realizar más adelante, cuando se supera el primer trimestre, como la amniocentesis, que se sugiere para luego de la semana 16 de embarazo.
¡Latidos fuertes y claros!
En la semana 6 del embarazo, tu bebé ya tiene un corazón definido y fuerte que late 150 veces en un minuto. Esto es casi el doble que un adulto. Ese sonido se queda plasmado en tu alma para siempre y es sinónimo de que llevas una nueva vida dentro de ti.
Tu bebé es muy pequeño. Aunque está muy bien instalado en el útero, debes cuidarlo porque sigue siendo susceptible a todo lo que ocurre a su alrededor. En esta semana ya no deberás presentar sangrado, por tanto, si llegase a ser así, acude por atención médica.
Todas las fuentes citadas fueron revisadas a profundidad por nuestro equipo, para asegurar su calidad, confiabilidad, vigencia y validez. La bibliografía de este artículo fue considerada confiable y de precisión académica o científica.
- P. Susana Aguilera, Peter Soothill. Control prenatal.REV. MED. CLIN. CONDES - 2014; 25(6) 880-886. Disponible en: https://www.elsevier.es/es-revista-revista-medica-clinica-las-condes-202-articulo-control-prenatal-S0716864014706340
- Nazario-Redondo, Conny, Ventura-Laveriano, Jéssica, Flores-Molina, Édgar, & Ventura, Walter. (2011). La importancia de la ecografía a las 11+0 a 13+6 semanas de embarazo: actualización. Anales de la Facultad de Medicina, 72(3), 211-215. Recuperado en 24 de marzo de 2021, de http://www.scielo.org.pe/scielo.php?script=sci_arttext&pid=S1025-55832011000300010&lng=es&tlng=es.
- Mateo-Sánez HA, Mateo-Sánez E, Hernández-Arroyo L, Rivera-Ramírez P, Mateo-Madrigal M, MateoMadrigal V, Mateo-Madrigal D. Pérdida recurrente del embarazo: revisión bibliográfica. Ginecol Obstet Mex. 2016 agosto;84(8):523-534. Disponible en: https://www.medigraphic.com/pdfs/ginobsmex/gom-2016/gom168h.pdf
- Jorge Alberto Fuentes Soliz, Orlando Vladimir Vidal Lia, José Marcos Fuentes Moya, Edgar Lopez. Consumo de Alcohol durante el Embarazo: Múltiples Efectos Negativos en el Feto. Rev Cient Cienc Méd v.12 n.2 Cochabamba 2009. Disponible en: http://www.scielo.org.bo/scielo.php?script=sci_arttext&pid=S1817-74332009000200010
- Buitrón-García FR, Bailón-Uriza R, Santoyo-Haro S, Díaz-Sánchez V. Evidencias en indicaciones de la progesterona. Ginecol Obstet Mex. 2017 ago;85(8):489-497.
Este texto se ofrece únicamente con propósitos informativos y no reemplaza la consulta con un profesional. Ante dudas, consulta a tu especialista.







